dental-veneers
Applied Procedures:
Dental Veneers
![]() |
![]() |
| Before Photo | After Photo |
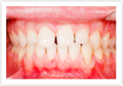
Applied Procedures:
Teeth Whitening, Dental Veneers
![]() |
![]() |
| Before Photo | After Photo |









