dental-bridges
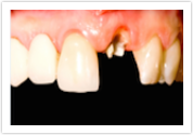
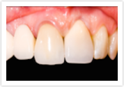
Applied Procedures:
Porcelain Crowns, Dental Bridges
![]() |
![]() |
| Before Photo | After Photo |
Applied Procedures:
Dental Bridges
![]() |
![]() |
| Before Photo | After Photo |









